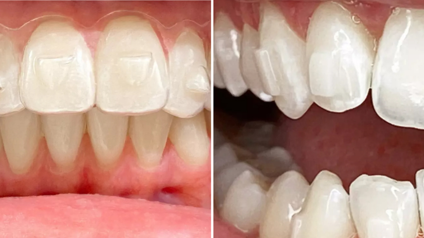
Most Dentists Are Clueless About Attachments...
They’re the key to predictable, effective aligner treatments...yet many are left guessing which to use in each case.
If you’ve been searching for clarity on attachments, this exclusive training session is for you.
Seats are limited to ensure a focused, interactive experience.
Don't miss out!
LIVE Virtual Training
When: Nov 13, 2024 @ 8:30pm EST / 7:30pm CST/ 5:30 pm PST
For USA 🇺🇸 and Canada 🇨🇦 Dentists Only

What You’ll Learn:
✔️ I’ll break down the complexities of attachments, making it easy to understand so that you know exactly which ones to use in different scenarios.
✔️ Learn practical techniques for using attachments across all aligner brands.
✔️ Walk away equipped to apply attachments effectively in your practice.
✔️ Gain the skills needed to deliver consistent, high-quality outcomes for your patients.
Training Highlights:
✔️ Attachment Basics – Understand the purpose and function of attachments in aligner treatments.
✔️ Real-World Use Cases – Learn which attachments work best in specific situations to ensure predictable outcomes.
✔️ Universal Application – Applicable insights for all aligner brands.
✔️ Live Q&A Session – Get answers to your questions in real-time.

Why Attend?
Without a clear understanding of attachments, achieving consistent, high-quality results with aligners is nearly impossible.
This virtual session will give you the tools to succeed and avoid the common pitfalls that lead to unpredictable outcomes.
Seats are filling quickly – secure yours to ensure predictable results in your practice!